Call me back

We’re Accepting New Patients!

Read More Next

Looking for a caring and professional dental practice? We’re excited to welcome new patients to our clinic! Whether you’re due for a check-up, need treatment, or are looking to enhance your smile, our friendly team is here to help.
Contact us today to book your first appointment—we look forward to meeting you!

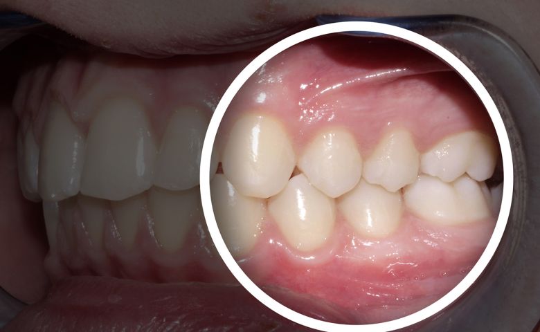
Porcelain inlays and onlays

Serving patients throughout Bath and surrounding areas

Inlays and onlays can be used to restore teeth when there is not enough of the original tooth to be treated with a filling. They offer a less invasive, more affordable alternative to a crown. The treatment is a highly effective way to strengthen teeth, restore their natural shape and avoid further deterioration.

How inlays and onlays work

Unlike a filling, inlays and onlays are created in a dental laboratory from an impression taken of the tooth. An inlay fills a cavity within the tooth and an onlay is used when the repair needs to include one or more cusps (the points of the tooth), or fully cover the biting surface. They are made from hard wearing materials, most often porcelain and composite resin.

Treatment is carried out over two visits to the Practice. During the first visit areas of decay or existing fillings are removed and your dentist will thoroughly clean the tooth, take an impression and fit a temporary restoration to protect the area.

A specialist dental technician then custom makes an insert that perfectly matches the shape, size and colour of your tooth. Once complete, the inlay or onlay is checked for fit and comfort, and then bonded permanently in place to complete the damaged tooth. When properly maintained they can last for many years.

The benefits of inlays and onlays

Inlays and onlays are an ideal solution as they offer an extensive restoration using minimally invasive techniques while preserving more of the natural tooth. They are more durable than a filling, and because they are created in a laboratory from a precise impression of the tooth they are tailored to fit perfectly. Your tooth will be strong and look entirely natural.

Inlays, Onlays and Dental Crowns

Why choose us?

Five Star Customer Service

Five Star
Customer Service

Leading Dental Care

Leading
Dental Care

State Of The Art Facilities

State Of The
Art Facilities

Nervous Patients

Nervous
Patients

Invisalign Provider

Invisalign
Provider

Patient Reviews

People are talking about us

The biggest complement we receive is when our patients refer their friends and family to Green Park Dental. In fact, we have built much of our practice on these valued, trusted recommendations over the years. Read our reviews to hear why our patients are recommending us…

Patient reviews

118 Reviews

5.0
LK

Louise Kandalaft

Best experience attending a hygienist dental appointment. Laura was patient, calm and very empathetic to the fact I was nervous.

PB

Paul Broughton-Alleyne

Least stressful session with a hygeniest that I have ever experienced. Will go again.

DP

Dave Pippard

Routine check up this morning with Sherry Mowla. All good; friendly and thorough. I’ve been with this practice for several years and the care has always been excellent. In particular my gum health is now very good as a result of the combined efforts of hygienist, dentist and my better cleaning. I don’t think anyone likes going to the dentist, but it’s necessary and this is the best and least intimidating I’ve found!

KM

Kieran Morling

I can’t recommend this practice enough for dental hygiene. I’ve been to many offices over the years, but the level of care here is on another level.<br>​From the moment I walked in, Pam, the receptionist, was welcoming and the check-in process was seamless. Lauren the hygienist and her nurse, Heather were incredibly thorough—They didn't just rush through the cleaning but took the time to assess my gum health and explain what they were seeing in a way that actually made sense.<br>​What impressed me most was the attention to comfort. They checked in with me frequently to make sure I wasn't in any pain, and the cleaning itself was the most gentle yet effective experience I’ve had. They used a system called Airflow which made the whole process much more relaxing and for someone with sensitive teeth, this made the experience painless and almost refreshing.<br>I also appreciated the personalized advice on flossing techniques and product recommendations to help maintain my cleaning at home.<br>​If you’re looking for a clinic that combines professional expertise with a genuinely kind, patient-centered approach, this is the place. Lovely team, incredibly welcoming and friendly but also very professional when they need to be.

SH

Sarah Hardwick

Dr. Sherry was wonderful! Extremely kind and honest with me, I’ll definitely be returning.

CP

Catherine Pillinger

Had an Hygienist appointment today with Lauren and Heather. They introduced me to the new system called GBT which was incredibly comfortable and pain free. The whole procedure seemed less invasive and very little scraping. Both Lauren and Heather kept me informed during the process, both bright and cheery and especially very professional. I felt in very good hands. Thank you.

I

Iain

I had a visit with the lovely hygienists Lauren and Heather. They made a very nervous attendee (me) feel comfortable and relaxed, talked me through everything, and made sure I had plenty of breaks. Their new cleaning kit makes the whole process much better and far more comfortable, with much less of the poking and scraping we all dread. Highly recommend.

N

Nicola

Every time I go to The Green Park Dental surgery, I feel reassured and confident. All the staff are extremely welcoming and friendly, starting with the two lovely receptionists, the hygienist Lauren and her assistant Heather and finally the dentist Sherrie! Furthermore, I always leave with sparkling white teeth! Everything is very carefully explained, which is reassuring. Thank you very much!

CB

Charles Berrisford

Excellent service consistently.

JC

Jeannette Cole

When the Hygienists first brought in the water cleaning system I had a very painful and unpleasant experience. I refused to have this type of cleaning again. On my recent visit I decided to try it again as it is several years on and they have made advancements. This time the experience was good and I am converted. If anyone is dubious I would recommend discussing concerns with your Hygienist and giving it another go.

IS

Ingrid Sidmouth

This was my best experience ever at a Hygienist appointment. Lauren and Heather are an excellent team. Lauren made a very thorough assessment of my gums and explained everything really well. The new Guided Biofilm Treatment is fantastic and my teeth and gums have never felt so clean and bright. It’s a gentle treatment but the results are incredible. Thanks so much!

AP

abie pixley

I recently tried Guided Biofilm Therapy (GBT) at my dental practice, and I was genuinely impressed with how much more comfortable it was compared to traditional scale and polish treatments. From start to finish, Heather and Lauren were fantastic—professional, gentle, and great at explaining each step. The device used warm water throughout the treatment, which made a huge difference. I normally have a few areas of extreme sensitivity, but for the first time ever, everything felt comfortable and completely manageable. GBT is an advanced cleaning method that uses a special dye to highlight plaque and biofilm, followed by a gentle air-polishing system and a light ultrasonic clean only where necessary. It feels far less harsh than traditional tools and is designed to protect teeth and gums while improving cleaning precision. The result? My teeth felt incredibly clean, my gums felt soothed rather than irritated, and I left understanding more about my oral health thanks to the visual feedback they gave me. I’m so pleased my practice has invested in this technology—it really transforms the hygiene experience. I’d highly recommend GBT, especially if you usually struggle with sensitivity.

LP

Lucie Pring

I have just returned from the practice and felt I must write a review immediately !! From the moment you walk in everyone is super friendly and helpful I needed an emergency appointment which was very quick to book ( thank you Pam !) Josie my dentist is a smiling lovely kind empathetic and a totally professional she has an amazing way about her that you just know you will be ok she allays any worries almost immediately. I am very nervous of the dentist but she has totally restored my faith that it will all be ok !!! Thank you again Josie for your kindness and overall awesomeness and to everyone at Green Park Dental practice.

N

Norman

Got to love Dr Smillie:) Always professional and kind

E

Emerald

Just finished a several month long treatment plan. My dentist, Dr. Sherry Mowla, awensred any questions I had about treatments as well as any other tooth related health concerns and always made sure that I was comfortable with what I was getting done as well as keeping me informed about it. If I needed an injection to be numbed up, It was correctly done and stayed as such throughout the duration of the visit. (As well as mentally prepping me for each needle, not a fan of needles) Receptionists were also very friendly and easy to talk to if need be. I very much suggest this dentist to people looking for a clean and comfortable place for oral help.

AP

Alexandra Pugh

Lauren was kind, caring and incredibly considerate. Both she and Heather were very welcoming and reassuring and it was a very positive experience. Thank you !

AA

Andrew Adeney

Lauren and Heather’s treatment at Green Park Dental Practice was highly professional and very thorough. Lauren took the time to go through the steps in my treatment and the steps I should take myself. A great experience! Many thanks

GO

Graham Outram

I have been going to this practise for 35 years. Now just back from a check up. The hygienists Lauren and Heather are wonderful. Very pleasant, thorough and extremely helpful. I have never had better care. And Josie the dentist is also so pleasant, thorough and helpful. I will not change now whilst they are there. Thank you very much

MS

Mike Seymour

Just came out of a hygienist appointment with Heather & Lauren, both of whom were very friendly and professional. Really pleased with the job they’ve done and the tips they gave me for ongoing care. Thanks!

JE

Josh Empson

The calmest and most relaxing dental experience in my life! Dr Sherry Mowia was so professional, confident and calm, as a nervous patient she made me feel at ease and on top of that did some fantastic dental work, will be my dentist of choice for years to come. Thank you so much Sherry!

Prev Previous
Next Next